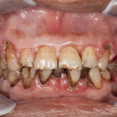
P705 Basic Oral Care for the Mouth Cancer Patient
of verifiable CPD
With mouth cancer patients a great deal of emphasis is placed on the early detection, subsequent treatment and then hopefu...
More Info Purchase CPDSpeaker:Prof. Chris Butterworth BDS(Hons), MPhil, FDSRCS (Eng.), FDS (Rest Dent) RCS (Eng.)
This recorded webinar looks at the rehabilitation of patients with maxillary and mid-facial malignancy using Zygomatic Implants (ZIs) and explores the emerging protocols and accelerated treatment paradigms.
Malignant tumours of the maxilla and midface provide a significant challenge to the multi-disciplinary head & neck cancer team seeking to provide curative as well as reconstructive and rehabilitative treatments. Resections in this region create complex oral and facial defects with loss of important structures such as the eye, the nose as well as the maxillary dentition.
Microvascular free tissue transfer is an important surgical modality in this patient group but many diverse treatment approaches have been presented in the literature and often prosthetic rehabilitation is compromised, delayed or lacking. In addition, this patient cohort has reported overall worse survival rates than other head and neck sites and together with the frequent use of radiotherapy, prosthetic rehabilitation is highly complex.
The advent of zygomatic implant therapy with both conventional and oncology-modified zygomatic implants (ZIs) has provided many possibilities for early prosthetic rehabilitation using the remote anchorage available in the facial skeleton. Placement of ZIs at the time of primary surgery with or without microvascular flap reconstruction has allowed the development of treatment protocols to provide support and retention for a wide range of facial and dental prostheses.
This recorded webinar focuses on the presenter’s experience over the past 18 years in one of Europe’s largest head & neck cancer centres, during which time he has surgically placed and restored over 400 ZI’s in patients with maxillary & midfacial malignancy. He has developed innovative techniques such as the Zygomatic Implant Perforated (ZIP) Flap procedure which combines the use of immediately placed skeletally anchored zygomatic implants with microvascular soft tissue flap reconstruction for rapid fixed dental rehabilitation even in cases requiring post-operative radiotherapy. Data is presented from several published studies from the Liverpool Unit as well as illustrative cases to demonstrate the treatment approaches employed.
This course aims to provide learners with knowledge and understanding of the classification of maxillary and mid-facial cancers as well as typical survival rates. The clinical application of zygomatic implants to effect oral and facial prosthetic rehabilitation and how techniques and implant design have evolved over the last 10 years will be covered.
On completion of this recorded webinar you will understand:
of verifiable CPD
With mouth cancer patients a great deal of emphasis is placed on the early detection, subsequent treatment and then hopefu...
More Info Purchase CPD

of verifiable CPD
Mouth Cancer Action Month is held in November every year and is supported by the Mouth Cancer Foundation and the Oral...
More Info Purchase CPD

of verifiable CPD
Mouth Cancer Action Month is held in November every year and is supported by the Mouth Cancer Foundation and the Oral...
More Info Purchase CPD